(215) 322-2262 | Southhampton
(215) 230-4464 | Doylestown
528 Street Road
Southhampton, 18966
150 W. State Street
Doylestown, 18901
(215) 322-2262 | Southhampton
(215) 230-4464 | Doylestown
Southhampton, 18966
Doylestown, 18901
Call Us At: (215) 322-2262
10:00 AM to 7:00 PM
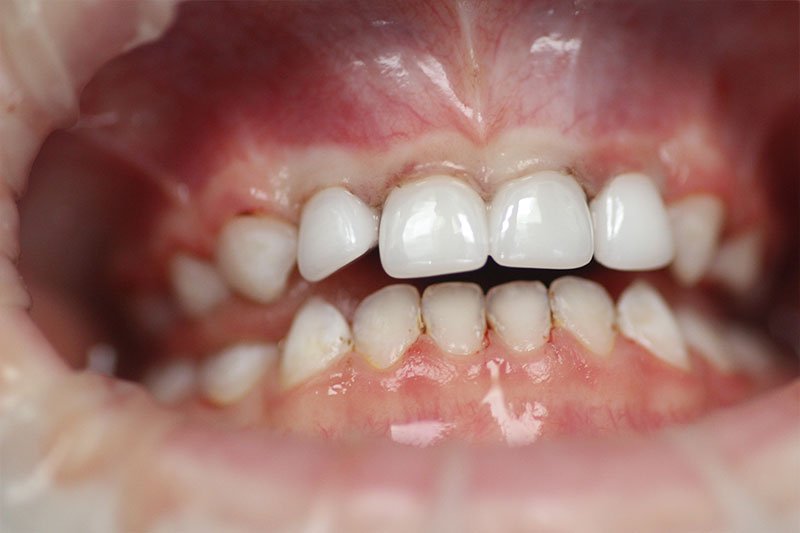
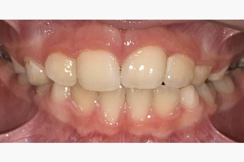
Get the bright white smile you’ve always wanted! Contact us today to get your $139 whitening trays.





